生活環境学部 食物栄養学科 専任講師
―― 先生は「栄養学」をご専門にされていらっしゃいます。この栄養学とは、どのような学問ですか。
栄養学は、摂取した食物がどのように消化・吸収・代謝・排泄され、体の中でどう利用されるかを解明する学問です。「栄養学」というと料理をイメージされる方もいますが、栄養素が体内でどのように働くのかを理解することが主なねらいの1つであると考えます。さらに、その栄養素がどのような食品にどれだけ含まれ、調理加工でどう変化するのか、体調や疾患によって利用率がどう変わるのかを研究し、人々の健康に役立てることを目指します。生命科学のなかでも、比較的実生活に近い分野だといえます。
―― 先生の現在の研究テーマを、わかりやすく教えてください。
私が行っているのは、エネルギー代謝の研究です。肥満や糖尿病などの生活習慣病を、エネルギー代謝を高めることで予防・改善することを目的としています。生活習慣病の背景には内臓脂肪の蓄積を伴うことが多く、その改善にはエネルギー摂取量を減らす、または、エネルギー消費量を増やす介入が必要になります。その中で、私が注目しているのは「消費」のほうです。
この消費には、基礎代謝や身体活動に加えて、食事摂取に伴うエネルギー消費の亢進である「食事誘発性熱産生」があります。これはエネルギー消費の約10%を占めるとされ、私はこれをどう促進できるかを調べています。現在は動物や細胞を対象に、体内で熱を作るために重要な褐色脂肪細胞やベージュ脂肪細胞の研究を中心に行っています。褐色・ベージュ脂肪細胞は熱を生み出してエネルギーを消費する働きがあり、体温の維持だけでなく、これら細胞を増やし活性化させることで体重減少にもつながると考えられています。

図:3種類の脂肪細胞と生理的な役割
―― その研究に取り組まれるようになったきっかけ(原点)を教えてください。
高校生のころ、部活動における食事面での指導や家庭科の授業などに興味を持ち、栄養学を学べる大学に進学しました。学部3年生でヒトを対象にエネルギー消費量を測定する研究室に所属し、修士課程まで研究を行いました。その後、博士課程からは動物(マウス)や細胞を対象にした研究を始めています。
ヒトを対象とする研究は結果を人に役立てやすい一方で、動物や細胞を対象とした研究では、組織や遺伝子などをより細かく調べられる面白さがあります。そうした点に惹かれ、現在も研究を継続しています。
―― 先生は医学博士号をお持ちですが、医学系の枠組みと比べて本学の「食物栄養学専攻」で研究することの特徴や強みはどこにありますか。
医学系と食物・栄養の分野は、優劣というより研究の目的やアプローチが異なると考えています。医学は病気のメカニズム解明や治療法の開発に加え、予防や健康増進も含めて幅広く人の健康を扱う学問です。その中でも臨床現場では、病気の診断・治療に関わる研究が中心になることが多いと思います。
一方、食物や栄養の分野では、病気を抱える方だけでなく、病気を未然に防ぎたい方や体調の変化が気になり始めた方など、より広い状態の人を対象にしながら、日々の食生活という身近な手段で健康の維持・改善を目指します。食事は薬のように短期間で大きな変化を期待するものではありませんが、生活習慣を長期的に整えることで、病気の発症リスクを下げたり、進行を緩やかにしたりできる点が、この分野の強みだと思います。
―― 先生のご研究は、社会や日常生活の中でどのように役立つとお考えですか。身近な例があれば教えてください。
栄養指導に活かすというのが特に身近な例であると思います。例えば、同じ「食事を摂る」でも、糖質・脂質・たんぱく質のどれを多く摂るかで体の反応は変わります。エネルギー産生栄養素のなかでは、特にたんぱく質は熱を生み出す作用が大きいことが知られています。また、同じ内容の食事でも、ゆっくりよく噛むと満足感が上がり、代謝が促進されることがあります。栄養学の観点からより良い食べものや食べ方を提案し、日々の食生活に取り入れてもらう形で研究を役立てたいと考えています。
―― 研究を進める中で、やりがいを感じるのはどのようなときですか。
私は仮説を立てて検証する形で研究を進めているので、仮説が正しく証明できたときは楽しいです。一方で、仮説が違っていて想像を超える発見が得られることもあります。どちらの場合でも、何か重要なことが明らかになると嬉しいですね。また、実験が上達してきたと感じるときや、新しい手法を取り入れられたとき、指導を担当した学生の成長を実感したときにもやりがいを感じます。

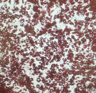
培養した脂肪細胞:脂肪細胞の脂肪滴をオイルレッドOという色素で赤色に染色している様子
―― では、逆に研究で難しさや苦労を感じるのはどのような点ですか。
研究費を取り続ける必要がある点は大きいです。また、結果が明らかになるまでにはトライアンドエラーを何度も繰り返す必要があり、時間がかかります。その間に国内外の他の研究グループから同様の結果が出ると、研究としての価値は下がってしまうこともあります。競争の中でオリジナリティを打ち出していくことが求められます。研究室のスタッフは私一人で基本的には学生と一緒に研究を進めていますが、本学でできない作業は学外の研究者の力を借りながら進めています。
―― 最近、特に関心を寄せている分野・テーマ(トピック)があれば教えてください。
教科書には載っていない内容を明らかにすると共に、教科書に載っているような広く知られている事実を、最新の技術を使ってさらに深く研究してみたいと考えています。また「食べ方」にも関心があります。患者さんによっては、病院で食べ物を厳しく制限される印象を受けることがあります。そこで制限を増やすというより、食事をどのように摂るかに焦点を当て、より良い食べ方を示すことで患者さんの負担を減らしたいと考えています。
―― 今後の展望や目標を教えてください。
動物や細胞の実験で安全性を確かめた上でヒトにおいて効果を検証する、ヒトで観察される原因が不確かな事象については動物や細胞で原因を追究する、といった「研究サイクル」を構築したいと考えています。臨床の現場とのやり取りを大切にして、最終的には研究成果を現場に還元したいです。例えば、病院からの相談を受けて原因を究明したり、研究で分かった効果的な知見を栄養指導に活かしたりできればと思います。将来的には学内の他領域との連携も進めていきたいです。